You are currently on the International (English) version.
Looks like you are in United States.
Switch to local content?
While standard biomicroscopic fundus examinations are commonly used to evaluate the retina, they may miss subtle yet significant macular pathologies, particularly in the presence of lens opacities or poor pupil dilation. By incorporating retinal OCT into preoperative assessments, surgeons can better inform patients, refine surgical strategies, and ultimately enhance postoperative results.

Patients refer their family, friends, and neighbours to ophthalmologists for cataract surgery, more than for any other surgery. The expectations are high to provide optimal outcomes and patient satisfaction. While standard biomicroscopic fundus examinations are commonly used to evaluate the retina, they may miss subtle yet significant macular pathologies, particularly in the presence of lens opacities or poor pupil dilation. By incorporating retinal OCT into preoperative assessments, surgeons can better inform patients, refine surgical strategies, and ultimately enhance postoperative results.

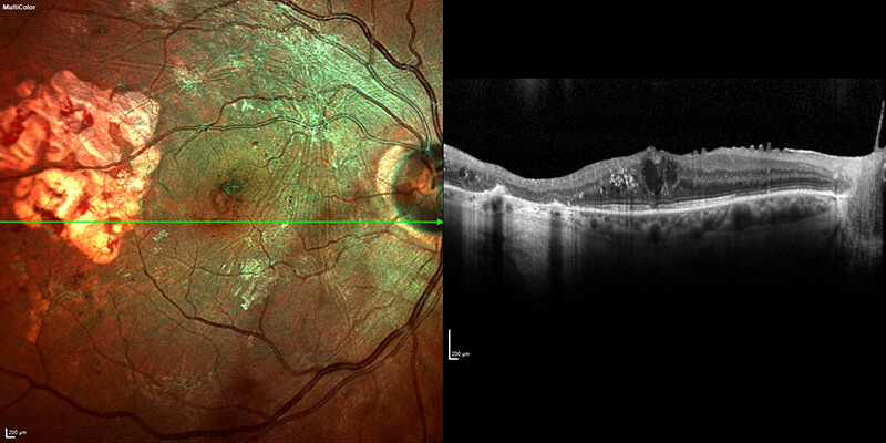
OCT imaging reveals an epiretinal membrane
Image courtesy: Farrell Tyson, MD
he latest data from ESCRS, from the 2022 annual report, cites 24.4% of all cataract surgeries reporting an ocular co-morbidity, and 7.8% of surgeries bringing an unexpected complication for the surgeon.
Professor Dr Christian Mardin, Consultant Ophthalmologist in Erlangen-Nurnberg, Germany, is a keen advocate of using Heidelberg Engineering’s Spectral Domain OCT to anticipate the reasons for a possible unfavourable outcome –
“Dense cataracts may be masking other conditions, and there can be subtle changes which are not visible with ophthalmoscopy. Spectral Domain OCT allows rapid acquisition of macular details. It is a fast, non-invasive examination of the posterior pole. Long wavelength light sources improve our ability to image relevant ocular structure.”
The SPECTRALIS’s Dual Beam Eye Tracking increases the visualisation and precision of anatomic and cross-sectional images which is particularly beneficial for the examination of elderly and disabled patients. SPECTRALIS with SHIFT Technology allows the choice between 20kHz, 85kHz and 125KHz depending on the clinical application. 20 kHz scan speed offers high-quality retinal imaging in eyes with media opacities.
“With multimodality imaging, we can look for drusen and other clinical signs of macular degeneration, diabetic retinopathy and other confounding conditions. This can help to identify patients with uncontrolled blood sugar and advise them to improve their control prior to surgery. Also, glaucoma might not be known prior to cataract surgery. If this is the case, cataract surgery may not improve the patient’s vision, due to the ganglion cell loss. This can easily be identified prior to surgery with one click of an OCT scan, which is fast and safe for the patient,” he added.
Richard Cornwell, Medical Science Liaison, focuses on driving anterior segment product development within his role at Heidelberg Engineering, by working with key ophthalmologists, scientists and industry leaders about the trajectory of ophthalmic diagnostics –
“OCT is essential not just for better IOL planning but also for managing patient expectations and reducing visual surprises which may manifest themselves post-surgically, particularly relating to the macular. Imaging the posterior pole can also help in identifying potential interventions which may change the surgical plan and provide insight to the visual potential of the retina following lens extraction. Diagnostic and structural imaging can also provide support in cases that could benefit from combining cataract operations with other procedures such as corneal transplant or drainage shunts.”
Dos Santos and colleagues in Brazil are using posterior segment OCT scans prior to cataract surgery and finding 13.3% of cases have pathologies that may have gone undiagnosed, reiterating the importance of retinal OCT as part of the cataract workup.
Dr Kevin Barber, from the Advanced Centre for Eyecare Global in Orlando, recently promoted the trend for intraocular, sustained-delivery treatments delivered at the same time as cataract surgery to overcome compliance issues. Some under development include slow-release Wet AMD treatments held within the haptics of IOLs.
Incorporating retinal OCT scans into the preoperative cataract assessment is essential for enhancing surgical outcomes and managing patient expectations. By providing critical insights into the posterior segment, retinal OCT enables surgeons to refine plans and avoid postoperative surprises. Given its proven value in detecting undiagnosed conditions, ophthalmologists should prioritize including this technology in their cataract workup to ensure optimal care, improved outcomes, and enhanced patient satisfaction.
References: