Jeremiah Brown, MD, reviews the three types of patients he has identified as a priority to monitor closely for clinical signs of GA: symptomatic patients with vision-impairing lesions, those progressing toward GA, and patients showing initial signs of nascent GA.

Jeremiah Brown, MD, reviews the three types of patients he has identified as a priority to monitor closely for clinical signs of GA: symptomatic patients with vision-impairing lesions, those progressing toward GA, and patients showing initial signs of nascent GA.
In this article, Dr. Brown recommends that ophthalmic professionals stay educated on GA treatment options, learn how to tap into high-resolution OCT technology to detect early signs of GA, and offer proactive patient counseling to optimize AMD management outcomes.

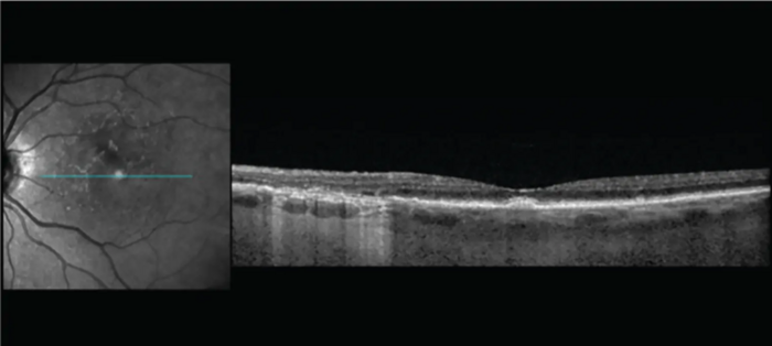
High-resolution imaging provides clear details of early degeneration of the outer retina.
Image courtesy: Jeremiah Brown, Jr, MD
For more valuable information about our products, educational offerings, learning materials and events Subscribe to our Newsletter or Contact us