You are currently on the International (English) version.
Looks like you are in United States.
Switch to local content?
Beyond clinical management of retinal disease, OCT is an effective modality in the monitoring and assessment of severe ocular trauma cases, as outlined in this article from Robert Gentile, MD. Dr. Gentile describes how he utilizes OCT imaging to enable visualization and diagnosis for both open globe and closed globe injuries.

Beyond clinical management of retinal disease, OCT is an effective modality in the monitoring and assessment of severe ocular trauma cases, as outlined in this article from Robert Gentile, MD. Dr. Gentile describes how he utilizes OCT imaging to enable visualization and diagnosis for both open globe and closed globe injuries.

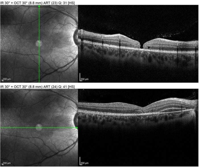
SPECTRALIS OCT shows Macular hole, subretinal hemorrhage, loss of photoreceptor layer.
Image courtesy: Ronald Gentile, MD, FACS, FASRS
For more valuable information about our products, educational offerings, learning materials and events Subscribe to our Newsletter or Contact us