You are currently on the International (English) version.
Looks like you are in United States.
Switch to local content?
Dr. Farrell "Toby" Tyson overviews his pre-surgery cataract workup routine and discusses his preference of imaging with SPECTRALIS as part of his patient screening process.

Dr. Farrell "Toby" Tyson overviews his pre-surgery cataract workup routine and discusses his preference of imaging with SPECTRALIS as part of his patient screening process. He reiterates the importance of imaging the posterior/anterior segment of the eye before proceeding with any anterior segment procedures in order to identify preexisting retinal conditions that can affect surgical outcomes.

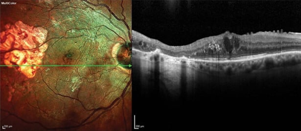
OCT imaging reveals an epiretinal membrane
(Image courtesy: Farrell Tyson, MD)